eigenMRI
Eigenmode-based MRI reconstruction. adaptive anatomical trajectories
Mode Demonstration
Stable
Monitoring
Dynamic change
pi@psipi.ai
Case
De-identified demonstration
eigenMRI-CASE-014
Study
MRI Brain w/ Contrast
Date range
Baseline → Follow-up (Δ 14 days)
eigenMRI status
Monitoring
Focus
Structural boundary behavior
Outputs emphasize boundary behavior, structural continuity, and direction of change — without diagnostic framing.
Viewer
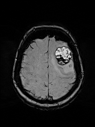
eigenMRI + local lesion window
eigenMRI Filtered
MRI view
Local Lesion Window · Lesion Origin (Tracked)
Local lesion window
Lesion Origin anchor for longitudinal tracking
ABER anatomic boundary emphasis region
Overlay margin / curvature / global
eigenMRI is a deterministic reconstruction framework that applies eigenmode and Laplacian-based spectral analysis to standard MRI data. It enhances structural continuity, boundary definition, and subtle tissue transitions without modifying scanner hardware, pulse sequences, or contrast agents.
• Works on standard DICOM series
• No AI, no training data, no contrast agents
• Compatible with existing clinical workflows
eigenMRI is developed by PsiPi.Ai, LLC
For research collaborations or pilot studies:
Contact pi@psipi.ai